
![]()
CT・3Dコンピューターシミュレーション
CT検査について


インプラント治療をする前の検査として、一般的にはレントゲン撮影による術前診査が行われておりますが、それだけではインプラント治療の術前検査としては完璧ではありません。
これはインプラント手術では、神経管や血管の位置や骨幅、骨質などを正確に診査・診断する必要があり、安全で正確なインプラント治療を行うにはCT撮影は必要不可欠です。
CTによる精密検査の結果、最終上部構造(歯の冠の部分)の位置の想定、不必要な骨移植・骨造成の回避、そしてフラップレス術式(歯肉を切らない治療法)やイミディエイト術式(即時インプラント)が適応できるかどうかの判断を詳細に行えるため、お一人お一人に最適で理想的な治療計画を立てる際の大きな判断材料となります。
沼澤歯科Northインプラントセンター西東京では、グループ院内に歯科用CT(ファインキューブ)を導入しているため、迅速で的確なCT撮影が可能ですので、ご安心してインプラント治療をお受けになれます。
安全・確実なインプラント治療のための3Dコンピューターシミュレーション



インプラント治療をより安全・確実に行うために、CT検査のデータを基にコンピュータにて3D治療シミュレーションを行います。
沼澤歯科Northインプラントセンター西東京で使用しているコンピュータシミュレーションシステムは、coDiagnostiX(ストローマン社製)システムを起用しています。
coDiagnostiXは、治療計画からインプラント埋入まで、補綴主導で正確にサポートできるシステムですので、低侵襲な外科手術が行えるメリットがあります。
以前テレビで放送されていたドラマの中に、天才心臓外科医が手術前にイメージトレーニングを行っている様子があったのを覚えている方もいらっしゃると思います。
このコンピュータシミュレーションは、頭の中で行っていたイメージトレーニングを、コンピュータ上で実際の患者様のCTデータから精密な口腔状態を3Dで作り出し、コンピュータ内で事前に疑似手術(イメージトレーニング)を行うことができるというものです。
お一人お一人に理想的なインプラント治療を提供するために、当院では全てのインプラント治療で使用しております。
このことからも私たちの安全性・正確性への「こだわり」がお分かりいただけると思います。
インプラント治療を安全・確実に行うためのガイデットサージェリー


インプラント治療をより安全・確実に行うために、まずはCT検査で精密なデータを採り、3D治療シミュレーションで正確なインプラント治療計画・設計を行い、ガイデッドサージェリーで安全なインプラント手術を行うというのが現在の当院の流れです。
ガイデットサージェリーとは、CTの情報を元にcoDiagnostiXシステムを用いてコンピューターシミュレーションを行い、手術用のテンプレート(サージガイド)を装着し手術することです。
この出来上がったサージカルガイドは、患者様お一人おひとりにピッタリと合うものが作成され、手術時に装着しながら治療を行うことにより、手ぶれや埋入深度などのあらゆるズレを無くし、血管やその他の重要組織を傷つけることなく、より安全なインプラント治療を行うことができます。
また、ピンポイントでベストな位置にインプラントを埋入することが可能となりますので、より患者負担の少ない低侵襲治療には欠かせないシステムです。
インプラント治療を安全・確実に行うためのシステムの流れ

安全・確実の追求 STEP.1
・作業模型の製作
作業模型は、スキャンテンプレートとサージカルガイド制作の基礎となります。

安全・確実の追求 STEP.2
・スキャンテンプレートの製作
スキャンテンプレートには、完成時の補綴物の形態が再現されたX線不透過性の材料を用います。gonyX™での製作時には、インプラント埋入のプランニングがサージカルガイドに確実に反映されるよう、プレートに固定されていることを確認します。

安全・確実の追求 STEP.3
・CTスキャン
gonyXTMで製作したスキャンテンプレートを装着し、患者様をCTスキャンします。

安全・確実の追求 STEP.4
・診断と3Dインプラントプランニング
患者様の解剖学的構造と補綴物の形態を考慮してインプラントの位置を決定します。インプラント埋入のプランニングが完了すると、サージカルガイド製作の計画およびガイデッドサージェリーキットに対する治療計画が表示されます。

安全・確実の追求 STEP.5
・サージカルガイドの製作
3D治療シミュレーションで設計したインプラントのテンプレートプランに従い、gonyX™を用いてサージカルガイドを製作します。サージカルガイドには、インスツルメントおよびインプラントを埋入するスリーブが付いています。

安全・確実の追求 STEP.6
・ガイデッドサージェリーとインプラント挿入
患者様の口腔内にサージカルガイドを固定後、ガイデッドインスツルメントを用いてインプラント床を形成し、続いてインプラントを埋入します。
このような工程を経て安全なインプラント治療を提供しています。
3Dコンピューターシミュレーションを起用したケース写真
ショートインプラントを用いたシミュレーション
ショートインプラントは、骨移植や骨造成を行わずに治療ができ、身体的負担の軽減、治療期間の短縮、そして経済的な治療法です。
-

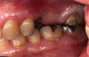
- インプラント治療前
-

- 3Dコンピューターシミュレーションにて設計
-

- インプラント埋入後のレントゲン写真
-

- 治療後
-
- 主訴
- 左上ブリッジの支台であった左上5を歯根破折でばっしとなり左上56の欠損となった
-
- 治療内容
- 抜歯から3ヶ月の治癒期間を経てCT撮影を行った結果、通常であれば上顎洞挙上手術の対象となるケースが多いが、ショートインプラントを用いることで大規模な骨造成お回避できることがわかった。2本ショートインプラント埋入
-
- 治療費用
- 900,000円(税別)
-
- 治療期間
- 5ヶ月



