
![]()
骨増生を回避した低侵襲グラフトレスインプラント治療
グラフトレスとは

インプラント治療では顎の骨に十分な厚みや幅がなく、インプラント体を埋入できない場合は、骨移植(ボーングラフト)や骨造成(GBR)、上顎にある上顎洞にはサイナスリフトをおこない、骨を人工的に造り出して埋入します。
しかし、今は材料や製品などの品質が向上したことや、CT・コンピュータシミュレーションによる精密な診断ができること、そしてショートインプラント、傾斜埋入、All on 4 (オールオンフォー)などの治療法が確立されたことから、骨移植・骨造成を行うことなくインプラント治療を行うことができる治療ケースが増えてきました。
これをグラフト(骨移植・骨造成)レス(行わない)術式といい、骨移植・骨造成を行わずにインプラント治療の設計を考えることをグラフトレスコンセプトといいます。 特徴は、患者様の精神的・肉体的・費用的にも負担の少ない低侵襲なインプラント治療であるという点です。
グラフトレスのメリット
1.骨移植・骨造成手術にかかる身体的負担や治療費を軽減できる。
2.治療期間を一般的なインプラント治療と同様にできる。
3.骨移植・骨造成による感染リスクを回避できる。
4.術後の腫れを少なく抑えることができる。
グラフトレスのデメリット
1.審美領域(前歯などの前歯部)には適さないこともある。
2.骨幅や厚みによっては骨移植・骨造成が必要になる場合がある。
3.上部構造物が入ったあと、清掃がしづらいことがある。
ショートインプラント


ショートインプラントとは、骨内埋入8mm以下のインプラントのことをいいます。
少し前までは長いインプラントほど安定すると考えられてきましたが、 実はインプラントを埋入してから約3~6ヶ月経過し骨と完全に結合すれば、インプラントの長さは関係ないということがわかっています。
ただし起用する場合には、患者様の口腔状態や骨の硬さ、噛み合わせなど一定の条件が 整うことが必要となります。
このショートインプラントの利点としては、骨移植や骨造成を行わずに治療ができるので 身体的負担の軽減、治療期間の短縮、そして経済的な点です。
当院では、ショートインプラントを起用する場合には、術前にCT撮影を行い、3Dコンピュータシミュレーション(ノーベルクリニシャン)システムを用い、精密な診断・インプラント治療設計を行った上で、確実に、そして安全にショートインプラント治療を行っております。
傾斜埋入インプラント

傾斜埋入とは、垂直にインプラント埋入する場合には骨の高さが不足している場合にインプラントを斜めに埋入する術式です。
骨移植・骨造成などのグラフト治療と比べ、骨質の良い箇所を利用するため初期の安定性も良く、身体的負担の軽減、治療期間の短縮、そして経済的に治療を行うことができます。
沼澤歯科Southインプラントセンター小金井では、事前にCT撮影・3Dコンピュータシミュレーション(ノーベルクリニシャン)システムを使用し、骨の状態を正確に把握することで精度が高いインプラントの傾斜埋入ができます。
オールオンフォー(All-on-4)

All-on-4(オールオンフォー)は、歯をすべて失った患者様にインプラントの埋入手術を行い、その日のうちに仮義歯にしっかり固定することで、手術当日から食事も可能になるという画期的なインプラント治療法です。
このオールオン4は、インプラント治療のデメリットといわれる「治療期間」「経済性」「審美性」「外科的侵襲」など患者様にとってのあらゆる負担を軽減した、まったく新しいコンセプトの治療法です。
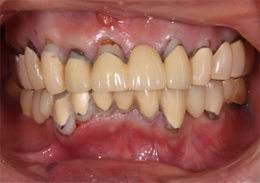
グラフトレスインプラントの症例写真
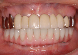
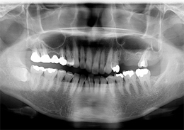
ショートインプラントの症例写真
ショートインプラント使用し骨造成をしないグラフト術式
-
- 主訴
- 左上ブリッジの支台であった左上5を歯根破折でばっしとなり左上56の欠損となった
-
- 治療内容
- 抜歯から3ヶ月の治癒期間を経てCT撮影を行った結果、通常であれば上顎洞挙上手術の対象となるケースが多いが、ショートインプラントを用いることで大規模な骨造成お回避できることがわかった。2本ショートインプラント埋入
-
- 治療費用
- 900,000円(税別)
-
- 治療期間
- 5ヶ月
ALL-ON-4(オールオンフォー)の症例写真
上顎のALL-ON-4(ノーベルクリニシャンを使用したフラップレス術式)
-
- 主訴
- 歯周病で歯がグラグラするので噛めない
-
- 治療内容
- 上顎に残存していた歯を抜歯。歯肉の治癒後にフラップレス手術にてインプラント埋入を行い、その場で準備してあった上顎上部構造を仮歯として、ねじ固定式で装着
-
- 治療費用
- 上顎ALL-ON-4:4,000,000円(税別)
-
- 治療期間
- 6ヶ月
下顎のALL-ON-4①(下の歯のオールオンフォー)
-
- 主訴
- もともと入っているインプラントの周りが腫れ、残りの歯も動いているので力が入らない
-
- 治療内容
- 下顎右側に以前埋入したインプラントの撤去を行い、歯周病の進行が著しかった残存歯の抜歯を行うと同時にインプラントの埋入を行い、当日仮歯を装着した
-
- 治療費用
- 下顎ALL-ON-4:4,000,000円(税別)
-
- 治療期間
- 6ヶ月













