
![]()
しっかり噛めるインプラント入れ歯
インプラント入れ歯とは


入れ歯は、自身のアゴの形態に合っていないと骨が減ってしまったり、痛くて噛めない、うまく話せないなどの症状が出てきます。
これは単に歯が無くなったから入れ歯にするといったことの弊害でもあります。
よく噛め、発音ができ、しっかり合う入れ歯は、自費の入れ歯となるのが一般的です。
また、入れ歯にすると様々な費用がかかってきます。これは、入れ歯を洗浄する洗浄剤の購入、洗浄する手間、メインテナンス時の調整費用など、余計な事柄が増えてきます。
沼澤歯科医院では、自身の歯が生え揃っていた状態に戻す(機能性)と、見た目もキレイにする(審美性)を考慮し、インプラントによる入れ歯をおすすめしています。
インプラント入れ歯の種類
ボールアバットメント


ボールアバットメントはオーバーデンチャーの中の1つの方法です。
インプラントの先のヘッドの部分が丸いボール形状になっており、入れ歯側に特殊な金具を付け、インプラントと入れ歯の部分をはめ込み連結させて固定します。
このボールアバットメントによるインプラント入れ歯は、ご自身でも簡単に取り外しができます。
このボールアバットメントオーバーデンチャーは、最低2本のインプラントで行うインプラント入れ歯です。使用するインプラント本数も少なく済むため、経済的にも優れた手法となります。
バータイプオーバーデンチャー

バータイプによるオーバーデンチャーは、インプラントをバーで連結し、入れ歯側にバーを挟み込む金具を付け、インプラントと入れ歯を固定します。
これは、ご自身でも容易に取り外しができない程の固定となるので、強固に入れ歯と連結できます。
その他、磁石を使用して入れ歯を固定する方法もあります。
このバータイプオーバーデンチャーは、最低2本のインプラントで行うインプラント入れ歯です。使用するインプラント本数も少なく済むため、経済的にも優れた手法となります。
- オーバーデンチャーのメリット
-
- 噛む力が大きくなり、よく噛めるようになる
- 歯肉の粘膜の負担を軽減できる
- 自身で取り外しができるのでセルフケアが楽にできる
- 最低2本のインプラントで行えるため比較的安価に治療ができる
- オーバーデンチャーのデメリット
-
- 外科手術は必要となる
- 噛む力が向上するため、使用している入れ歯が割れてしまうこともある
- インプラントと入れ歯のケアが必要となる
オールオンフォー(All-on-4)



All-on-4(オールオンフォー)は、歯をすべて失った患者様にインプラントの埋入手術を行い、その日のうちに仮義歯にしっかり固定することで、手術当日から食事も可能になるという画期的なインプラント治療法です。
以前は、歯をすべて失った方がインプラント治療を行う際には、上下顎ともに6~10本のインプラントが必要とされていました。そして、しっかり噛めるようになるまでの治療期間は、インプラント手術から約3~6ヶ月かかり、治療費もとても高額なものであったため、インプラント治療を受けられない患者さんも多くいらっしゃいました。
「オールオンフォー」による即日治療は、下顎は4本、上顎でも4~6本のインプラントで手術当日からしっかり固定して、噛む機能と見た目の審美性を即日に回復できる究極の治療法です。
このようにオールオンフォーは、インプラント治療のデメリットといわれる「治療期間」「経済性」「審美性」「外科的侵襲」など、患者様にとってあらゆる負担を軽減した、まったく新しいコンセプトの治療法です。
- オールオンフォーのメリット
-
- 噛む力が大きくなり、よく噛めるようになる
- 固定されているので食事や会話に影響しない
- 顎骨の吸収を抑制できる
- 天然歯に近い見た目でできる
- 歯を多数一度に取り戻せる
- オールオンフォーのデメリット
-
- 外科手術が必要となる
- 術者の治療経験や技術が必要
- 保険外診療なので治療費用が高くなる
- 治療が適応できない症例もある
- メンテナンスが必要となる
インプラント入れ歯の症例写真
ALL-ON-4(オールオンフォー)の症例写真
当院では、All-on-4の治療症例数・実績が豊富であり、常に技術の向上をするために、勉強会や講演会など幅広く出席しております。
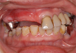
上顎のALL-ON-4①(抜歯即時の症例)
-
- 主訴
- 上の歯が悪くしっかりかめない
-
- 治療内容
- 上顎右側に残っていた歯の根及び上顎左側に残存していたが、歯周病により動揺があった歯の抜歯を行い、合計6本のインプラントの埋入を行い、ネジ固定式の上部構造を装着した
-
- 治療費用
- 上顎ALL-ON-4:4,000,000円(税別)
-
- 治療期間
- 6ヶ月
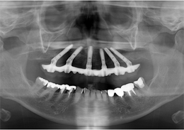
上顎のALL-ON-4②(3Dコンピューターシミュレーションを使用したフラップレス術式)
フラップレス術式は、メスを使用しない無切開手術(フラップレス術式)です。
手術前の精密検査(CT撮影)によって顎骨の状態を正確に把握し、3Dコンピューターシミュレーションによる診断でインプラント埋入部位の詳細な治療計画が立てられるため、一般的なインプラント手術で必要となる切開・剥離・縫合のステップが省略できるため、短時間での手術が可能になります。
そして、出血もほとんどなく術後の腫れや痛みを軽減できるため、患者様の身体的負担を軽減できる低侵襲な最新のインプラント術式です。
-
- 主訴
- 歯周病で歯がグラグラするので噛めない
-
- 治療内容
- 上顎に残存していた歯を抜歯。歯肉の治癒後にフラップレス手術にてインプラント埋入を行い、その場で準備してあった上顎上部構造を仮歯として、ねじ固定式で装着
-
- 治療費用
- 上顎ALL-ON-4:4,000,000円(税別)
-
- 治療期間
- 6ヶ月
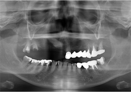
下顎のALL-ON-4①(下の歯のオールオンフォー)
-
- 主訴
- もともと入っているインプラントの周りが腫れ、残りの歯も動いているので力が入らない
-
- 治療内容
- 下顎右側に以前埋入したインプラントの撤去を行い、歯周病の進行が著しかった残存歯の抜歯を行うと同時にインプラントの埋入を行い、当日仮歯を装着した
-
- 治療費用
- 下顎ALL-ON-4:4,000,000円(税別)
-
- 治療期間
- 6ヶ月











