
![]()
見た目を綺麗にする審美インプラント

今は、ただインプラントを埋入するだけで完了する、インプラント治療の時代は終わりました。
これからは、見た目をキレイに美しく、より本物の自身の歯と変わらないようにナチュラルに見せるか、機能させるのかがポイントとなります。
お口を開け、ほほ笑んだときに、如何に自然に見えるかということを、美容観点からも「スマイルライン・エステティックライン」を意識し、より美しく、そしてナチュラルに見せる治療を行っていきます。
これに伴い、上部構造(差し歯)の美しさの追求はもちろんのこと、歯ぐき(歯肉)のラインやボリュームのバランスも考慮し、インプラント治療を行っております。
これこそが、沼澤歯科医院が行う審美インプラント治療となります。
審美インプラントの症例写真
審美領域(前歯部)のインプラント症例写真
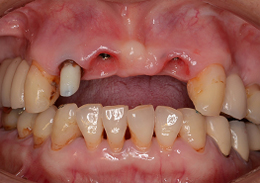
インプラントブリッジのジルコニアオールセラミックにて前歯部・審美領域の治療
-
- 主訴
- 事故で前歯を喪失、見た目と噛み合わせを治したい
-
- 治療内容
- 上顎前歯2本のインプラントと右上の天然歯を、同時に色調を合わせて修復を行なった
-
- 治療費用
- インプラントに関わる治療費:1,025,000円(税別)
-
- 治療期間
- 5ヶ月
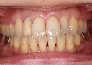
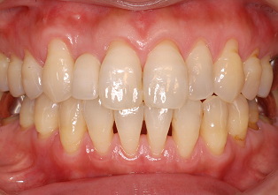
前歯部・審美領域の抜歯即時インプラント
右上の歯の前から2番目を抜歯し、即時にインプラントを施した前歯部・審美領域の治療
-
- 主訴
- 右上2の被せ物が取れた
-
- 治療内容
- 被せ物が脱離した右上2は歯根破折をしており、保存不可能と判断されたため抜歯と同時のインプラント埋入を計画。抜歯と同時にインプラント埋入。そのインプラントの生着を待って上部構造の装着を行なった
-
- 治療費用
- 435,000円(税別)
-
- 治療期間
- 3ヶ月
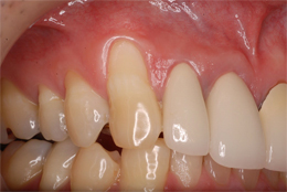
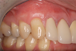
結合組織移植の症例写真
結合組織による根面被覆症例
-
- 主訴
- 右上3番がしみる
-
- 治療内容
- 右上3の歯頸部過度なブラッシングにより歯肉退縮したもので、右上口蓋より結合組織を採取し、歯根露出部に移植
-
- 治療費用
- CTG:60,000円(税別)
-
- 治療期間
- 術後3ヶ月の状態









