
![]()
切らない、メスを使わないフラップレスによるインプラント治療

フラップレスによるインプラントとは、無切開手術(フラップレス)術式にて行うインプラント治療です。
この術式によるインプラント治療の特徴は、あらかじめCTによる精密検査や3Dコンピューターシミュレーションによって、最適なインプラント埋入ポジションを確定し、確実にそのポジションにインプラントを埋入するための手術用ガイドを作製することで、歯ぐきを切り、大きく剥離することなくインプラント埋入手術を可能にすることができる、患者さんにとってメリットの大きい最新のインプラント治療法です。
ただし、フラップレスによるインプラント治療は、患者さんの口腔内の状態や顎骨の質、量によって切開手術(フラップ)や2回法によるインプラントのオペになることもあります。
一般的なインプラント治療との違い
切開手術(フラップ)の場合
1.インプラントを埋入する部分の歯肉をメスで切開します。
2.歯肉を剥離して顎骨を完全に露出させ、専用ドリルで埋入するため骨を削ります。
3.インプラントを埋入し、歯肉を被せるため縫合していきます。

無切開手術(フラップレス)の場合
インプラント治療前にCT撮影を行い、3Dコンピューターシミュレーションを行い、安全に手術を行うための手術用テンプレート(サージカルガイド)を作製します。
このサージカルガイドとは、正確な位置にインプラントを埋入するためのガイドとなるマウスピース型の装置です。
1.専用のパンチング機などで、歯肉に必要最小限の小さな穴を開けます。
2.サージカルガイドを歯に装着し、設計したガイド通りに小さな穴を開け骨を削ります。
3.骨の状態が良く初期固定が十分得られれば、手術当日に仮歯を装着することも可能です。

従来のインプラント埋入手術のように歯肉を大きく切らないため、出血や術後の腫れ、痛みなどを大幅に軽減することができ、縫合や抜糸といった処置も必要ないため、手術時間や治療回数も短縮できます。
無切開手術によるメリット
- 歯肉を切開しないため、術中・術後の腫れや痛み大幅に軽減できます。
- 切らない手術なので、出血量を大幅に減少させます。
- 切開・縫合の必要がないため、手術時間や治療回数が短縮できる。
- メスを使わないことにより、患者さんの精神的不安が少なくて済む。
無切開手術によるデメリット
- インプラントの埋入位置の骨の状態が良好でなければ行なえない。
- 術前の審査診断が非常に重要なため、術者の知識と経験が必要。
無切開手術は経験豊富な歯科医師の診断の元に治療をすることがベストの手術法です。
また、口腔内の状態・骨質により無切開手術ができない可能性もありますので、担当ドクターとしっかりお話した上で治療を進めていきましょう。
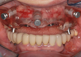
フラップレスインプラントの症例写真
ガイドを使用したフラップレス術式(上顎のALL-ON-4)
-

- 術前
-

- 抜歯から3カ月
-

- サージカルガイドでのガイデットサージェリー
-

- 術直後
-
- 主訴
- ブリッジが食事のたびに動く
-
- 治療内容
- ブリッジを支えていた歯根は虫歯の進行で保存不可能であったため抜歯をし、3ヶ月の治癒期間を待ったのち、手術用のガイドを作成し切開を行わないフラップレス手術にてインプラントの埋入手術を終了し、仮歯義歯を装着した。
-
- 治療費用
- 4,000,000円(税別)
-
- 治療期間
- 6ヶ月



